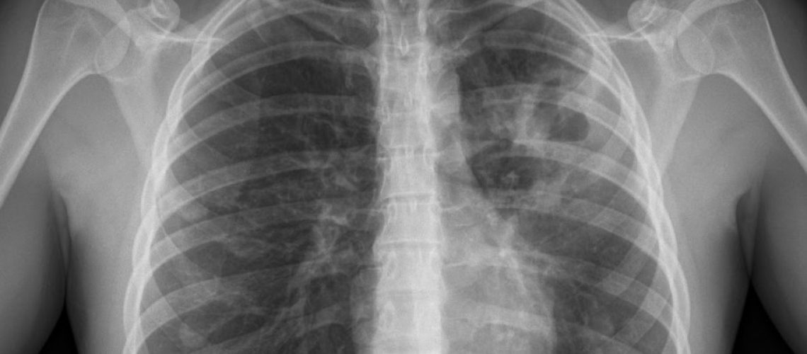
La tuberculosis es probablemente la enfermedad infecciosa mas antigua de la humanidad, además de la más prevalente. La antigüedad de esta infección se ha estimado en mas de 3 milllones de años. La edad media de presentación es de 35-44 años y predomina en varones. Esta producida por un bacteria denominada Mycobacterium tuberculosis y el reservorio del bacilo son los individuos y animales infectados. Afecta preferentemente a los pulmones aunque también puede afectar a otros organos. Los síntomas son inespecíficos y muy variables. Las manifestaciones generales clásicas consisten en un cuadro subagudo o crónico caracterizado por adelgazamiento, cansancio, perdida de apetito y febrícula de predominio vespertino con sudoración nocturna. El síntomas respiratorio mas frecuente es la tos y puede aparecer expectoración con sangre o dificultad para respirar en fases mas avanzadas de la enfermedad. Es fundamental el diagnóstico precoz para controlar la enfermedad ya que la contagiosidad disminuye desde que se inicia el tratamiento.
Comparte el artículo