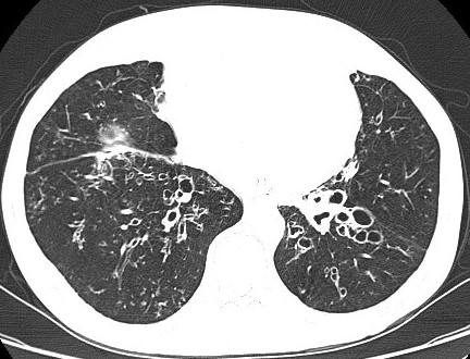
¿Qué son las bronquiectasias?

Las bronquiectasias son dilataciones anómalas e irreversibles de los bronquios cartilaginosos de tamaño mediano, que se acompañan de destrucción de los componentes muscular y elástico de la pared bronquial, generalmente asociadas a infección crónica. Son mas frecuentes en mujeres y la prevalencia aumenta con la edad. Pueden ser localizadas o a veces generalizadas en ambos […]
¿Qué es un trasplante pulmonar?

El trasplante es un recurso terapéutico que se aplica en los pacientes que padecen una enfermedad pulmonar avanzada e incapacitante y que a pesar del tratamiento médico presenta un mal pronóstico de vida a muy corto plazo. En el mundo se realizan aproximadamente 1700 trasplantes por año. Es un procedimiento que prolonga y mejora la […]
¿Qué es la hipertensión arterial pulmonar?

La Hipertensión Arterial Pulmonar es una enfermedad grave que afecta a la arterias pulmonares. Suele aparecer entre la 3ª y 4ª década de la vida y es más frecuente en mujeres. En el 6% de los casos existen antecedentes familiares de la enfermedad que se transmite siguiendo un patrón de herencia autosómico dominante con penetrancia reducida. […]
¿Qué es la tuberculosis?

La tuberculosis es probablemente la enfermedad infecciosa mas antigua de la humanidad, además de la más prevalente. La antigüedad de esta infección se ha estimado en mas de 3 milllones de años. La edad media de presentación es de 35-44 años y predomina en varones. Esta producida por un bacteria denominada Mycobacterium tuberculosis y el […]
¿Qué es el tabaquismo?

El tabaquismo es una enfermedad adictiva crónica producida por la nicotina presente en el tabaco. El humo del tabaco contiene mas de 4.000 sustancias químicas de las cuales de 250 son tóxicas o cancerígenas y causa en España mas de 56.000 muertes anuales (150 muertes al día). Tres cuartas partes de los fallecimientos producidas por […]
¿Qué es la fibrosis pulmonar idiopática?

La fibrosis pulmonar idiopática es la enfermedad pulmonar intersticial mas frecuente y no se conoce la causa que la provoca. Origina un endurecimiento o cicatrización progresiva (fibrosis) del tejido pulmonar que hace que el paciente presente fatiga con los esfuerzos y a veces tos irritativa con lo que el paciente pierde de forma acelerada capacidad […]
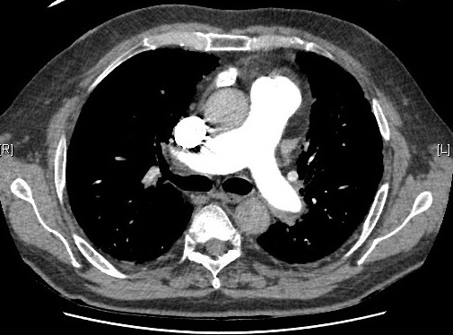
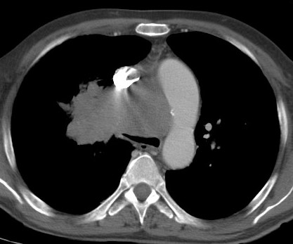
¿Qué es el Cáncer de pulmón?

Es uno de los cánceres mas agresivos y mas frecuentes en hombres y mujeres. En el 90% de los casos ocurre en fumadores de larga evolución. Existen diferentes tipos de tumores que se tratan de forma diferente según el tipo de células que predominan en la lesión. Los síntomas de alerta que deben llevar a […]
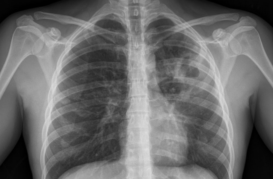
¿Qué es la neumonía?

La neumonía es una infección del pulmón que puede ser causada por diferentes gérmenes como bacterias, virus y hongos. Es la infección que con mayor frecuencia justifica el ingreso de un paciente en el hospital y la causa mas frecuente de muerte de origen infeccioso. Se clasifican según se adquieren en el ámbito extrahospitalario (neumonía […]
¿Qué es el síndrome de apnea del sueño

La apnea del sueño es una enfermedad muy frecuente que suele darse en pacientes roncadores durante el sueño. Este trastorno cursa con múltiples paradas respiratorias (apneas) que interrumpen el sueño haciendo que no sea un sueño reparador. Suele darse aunque no siembre en pacientes con sobrepeso y los síntomas mas frecuentes son el exceso de […]
¿Qué es la enfermedad pulmonar obstructiva crónica (EPOC)

La enfermedad pulmonar obstructiva crónica (EPOC) es una enfermedad respiratoria crónica progresiva y poco reversible producida por una reacción inflamatoria al humo del tabaco en la mayoría de los casos. Se trata de una enfermedad prevenible, tratable y con repercusión en otros órganos. Los síntomas mas frecuentes son la fatiga con los esfuerzos y la […]